
Takotsubo Cardiomyopathy Triggered by Emotional Stress in an Elderly Female
Marlon Carbonell González 1* , Maydelis Milo Alvarez 2 , Deborah Cabrera Rodríguez 3 , Mai Lyng Yon Wong 3 , Lhianella Ramos Escobedo4 , Eliany León Figueredo 5
1* Intensive Care Unit, Hospital Clínico Quirúrgico Miguel Enríquez, Havana, Cuba.
marloncarbonell95@gmail.com;
2 University of Medical Sciences of Pinar del Río, Faculty of Medical Sciences, Pinar del Río, Cuba.
mmaydelis24@gmail.com;
mmaydelis24@gmail.com;
3 University of Medical Sciences of Havana, "Miguel Enríquez" Faculty of Medical Sciences, Havana, Cuba.
deborahcabrera0211@gmail.com;
meilyngyonwong@gmail.com;
4 Central University: Quito, Pichincha, Ecuador.
Lhia2105@gmail.com;
5 University of Medical Sciences of Cienfuegos, Faculty of Medical Sciences, Cienfuegos, Cuba.
elylf1997@gmail.com;
Correspondance*: marloncarbonell95@gmail.com. Tel: (+1)908-926-1154
ABSTRACT
Takotsubo cardiomyopathy (TCM), also known as stress-induced cardiomyopathy or "broken heart syndrome," is a transient left ventricular systolic dysfunction typically precipitated by emotional or physical stress. It closely mimics acute coronary syndrome (ACS) but occurs in the absence of significant coronary artery obstruction. We present the case of a 73-year-old woman with a medical history of hypertension, diabetes mellitus, hyperlipidemia, and osteoporosis, who presented with sudden-onset chest pain radiating to the throat, left arm, shoulder, and neck, accompanied by nausea, vomiting, and diaphoresis. Initial evaluation revealed elevated high-sensitivity troponin and B-type natriuretic peptide (BNP) levels, along with electrocardiographic findings suggestive of Wellens syndrome. Emergent coronary angiography demonstrated only minimal atherosclerotic disease. Left ventriculography revealed apical akinesis with basal hyperkinesis, consistent with TCM; an apical thrombus was also identified. The patient was managed with anticoagulation and supportive medical therapy. This case underscores the importance of considering TCM in elderly female patients presenting with ACS-like symptoms, particularly when coronary angiography does not reveal significant obstructive lesions.
Keywords: Takotsubo cardiomyopathy, stress-induced cardiomyopathy, acute coronary syndrome, Wellens
syndrome, apical thrombus.
INTRODUCTION
Takotsubo cardiomyopathy (TCM), also referred to as stress-induced cardiomyopathy or "broken heart syndrome," is a reversible acute left ventricular systolic dysfunction first described in Japan in 1990. The term "Takotsubo" originates from a Japanese octopus trap, which resembles the characteristic apical ballooning of the left ventricle observed during systole.¹
The global prevalence of Takotsubo cardiomyopathy is likely underestimated, yet it is thought to account for approximately 1–2% of all cases initially suspected as acute coronary syndrome (ACS), with a significantly higher incidence observed in postmenopausal women.² Despite growing clinical recognition, TCM remains frequently underdiagnosed or misdiagnosed, largely due to its overlapping clinical and electrocardiographic features with other cardiac disorders and the limited awareness among healthcare providers.
The pathophysiology of TCM is not fully elucidated but is believed to involve catecholamine-induced myocardial stunning, microvascular dysfunction, and transient myocardial ischemia, resulting in the hallmark apical ballooning pattern and regional wall motion abnormalities.3
Intense emotional or physical stressors commonly precipitate TCM. ⁴⁻⁷ Its clinical presentation closely mimics ACS, with symptoms such as chest pain, dyspnea, sudden onset of marked fatigue, diaphoresis, and lightheadedness, accompanied by electrocardiographic changes and elevated cardiac biomarkers.⁸ However, in contrast to ACS, coronary angiography typically reveals no significant obstructive coronary artery disease.⁹
CASE PRESENTATION
Day 0 – Symptom Onset and Initial Presentation
A 73-year-old woman with a medical history of hypertension, type 2 diabetes mellitus, gastroesophageal reflux disease, hyperlipidemia, and osteoporosis presented to the emergency department with sudden-onset, sharp chest pressure, rated 7/10 in intensity. The pain radiated to the throat, left arm, shoulder, and posterior neck, and was associated with shortness of breath, nausea, vomiting, and diaphoresis. On arrival, vital signs were within normal limits.
Day 1 – Initial Evaluation and Biomarkers
A 12-lead electrocardiogram (ECG) revealed sinus rhythm with symmetrical, deeply inverted T-waves in leads V2 to V6, DI, and aVL, consistent with anterior and high lateral ischemic changes (Figure 1). Serial high-sensitivity troponin levels showed a progressive rise from 450 ng/L to 574 ng/L. Brain natriuretic peptide (BNP) was significantly elevated at 2920 pg/mL.
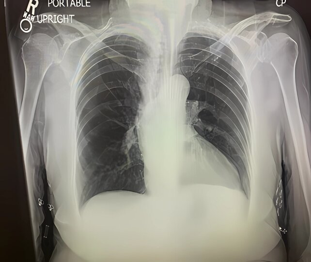
A chest X-ray revealed clear lung fields without pulmonary infiltrates or congestion. However, a moderate left pleural effusion was noted, evidenced by blunting of the left costophrenic angle. The cardiac silhouette appeared normal in size and contour (Figure 2).

Figure 1. Admission 12-lead electrocardiogram showing deep, symmetrical T-wave inversions in leads V2 to V6, DI, and aVL, consistent with anterior and high lateral ischemic changes, suggestive of Wellens syndrome pattern.

Figure 2. Frontal chest radiograph showing clear lung fields without infiltrates or signs of pulmonary congestion. A moderate left pleural effusion is noted, evidenced by blunting of the left costophrenic angle; cardiac silhouette is normal in size.
Day 2 – Coronary Angiography and IVUS
Coronary angiography, performed via left radial artery access, demonstrated minimal, non-obstructive coronary artery disease. The right coronary artery was dominant, and the left circumflex artery appeared angiographically normal. A mild 20% ostial narrowing of the left main coronary artery was observed. Intravascular ultrasound (IVUS) confirmed mild, calcified stenosis (30–40%) in the left anterior descending artery, with a minimal luminal area of 5.4 mm² (Figure 3). No flow-limiting lesions were identified.

Figure 3. Coronary angiography and intravascular ultrasound (IVUS) revealed non-obstructive coronary artery disease. Mild calcified stenosis (30–40%) is observed in the proximal left anterior descending artery, with a minimal luminal area of 5.4 mm².
Day 3 – Ventriculography and Echocardiography
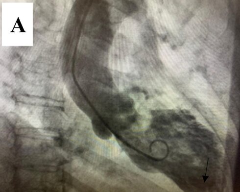
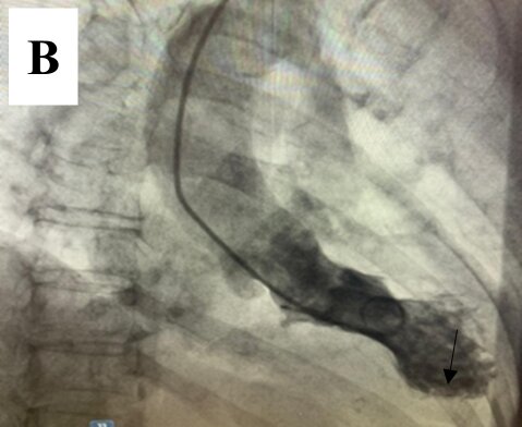
Left ventriculography demonstrated a normal-sized left ventricle with apical akinesis and basal hyperkinesis, resulting in the characteristic "apical ballooning" pattern seen in Takotsubo syndrome (TTS). An apical thrombus was also identified (Figure 4(a) and (b)).
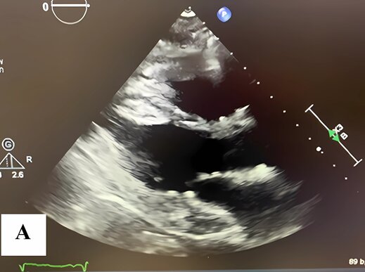
Transthoracic echocardiography confirmed moderate left ventricular systolic dysfunction with an estimated ejection fraction between 38% and 50%. Additional findings included apical dyskinesis, grade I diastolic dysfunction, mild aortic regurgitation, and a moderate left pleural effusion. No pericardial effusion or significant valvular abnormalities were present. An apical thrombus was also identified (Figure 5(a) and (b)).


Figure 4. Left ventriculography demonstrating apical akinesis and basal hyperkinesis, consistent with Takotsubo cardiomyopathy. An apical thrombus is clearly identified at the left ventricular apex (black arrow) in both diastole and systole views. (A) End-diastolic frame; (B) end-systolic frame.


Figure 5. Transthoracic echocardiogram in apical four-chamber view on admission. (A) Diastolic phase and (B) systolic phase reveal apical ballooning of the left ventricle, with a visible apical thrombus (black arrow).
Day 4 – Treatment Initiation and Discharge
Based on the diagnosis of Takotsubo cardiomyopathy complicated by apical thrombus, anticoagulation therapy with rivaroxaban was initiated. The patient was also started on beta-blockers and angiotensin-converting enzyme inhibitors (ACEIs) for supportive care and ventricular remodeling. Aspirin and statins were added for cardiovascular protection.
The patient showed clinical improvement and was discharged with instructions for close follow-up.
Weeks Later – Follow-Up Evaluation
A follow-up transthoracic echocardiogram, performed approximately two months after discharge, revealed complete normalization of left ventricular systolic function, with an estimated ejection fraction of 70–75%. There were no regional wall motion abnormalities, and only mild grade I diastolic dysfunction persisted (average E/e′ = 11). Trivial pericardial effusion and a small residual left pleural effusion were present. Additionally, mild mitral valve leaflet calcification was observed without stenosis or regurgitation (Figure 6(a) and (b)). These findings confirmed full recovery from Takotsubo cardiomyopathy and complete resolution of the apical thrombus. The patient remained clinically stable with no recurrence of symptoms during follow-up.


Figure 6. A follow-up transthoracic echocardiogram was performed approximately two months after discharge.
(A) Systolic and (B) Diastolic images show complete normalization of left ventricular function, with resolution of apical ballooning and absence of thrombus.
(A) Systolic and (B) Diastolic images show complete normalization of left ventricular function, with resolution of apical ballooning and absence of thrombus.
Clinical Timeline

Table 1. Chronological summary of key clinical events, diagnostic findings, and therapeutic interventions during hospitalization and follow-up in a 73-year-old female patient with Takotsubo cardiomyopathy complicated by apical thrombus.
DISCUSSION
Takotsubo cardiomyopathy (TCM) is an increasingly recognized cause of acute chest pain and left ventricular dysfunction, accounting for approximately 1–2% of patients initially suspected of acute coronary syndrome (ACS). 3 The clinical presentation frequently mimics that of ACS, including chest pain, ECG changes, and elevated cardiac biomarkers, which can complicate early diagnosis.4
Poruban et al.10 found only 52 patients with a diagnosis of TTC from a total of 3835 patients. The majority of whom were females, 48 (93%) with an average age of 64.2 ± 10.2 years. Stress-induced mechanisms were identified in 36 (69%) patients.
Our case exemplifies the classic presentation of TCM in an elderly female with typical symptoms and ECG findings consistent with Wellens syndrome, a pattern often associated with critical stenosis of the left anterior descending artery, but here reflective of myocardial stunning due to TCM. The elevated troponin and BNP levels further corroborated myocardial injury and stress.
El-Battrawy et al.11 analyzed data from a prospective registry that enrolled 2492 consecutive patients with TTS from 2002 to 2018. They found in the younger age group a greater incidence of cardiogenic shock. Other complications include LV outflow tract obstruction, cardiac arrest, and pulmonary edema.
A rare but important complication in TCM is the formation of a left ventricular thrombus, primarily at the akinetic apex, posing a risk for systemic embolization 3. The incidence of thrombus formation ranges between 2% and 8%, warranting vigilance and appropriate anticoagulation therapy to mitigate embolic events.
Our case closely resembles that reported by Lei et al.12, which involved an 80-year-old Chinese elderly female patient diagnosed with Takotsubo syndrome complicated with intracardiac thrombosis.
Salamanca et al.13 conclude in their study that of 1478 TTS consecutive patients (median age 72 years), 42 patients (2,8%) presented with LV thrombus (LVT). However, LVT is a rare but significant complication in TTS.
Prognosis of TCM is generally favorable, with most patients demonstrating recovery of left ventricular systolic function within weeks to months. Nonetheless, complications such as heart failure, arrhythmias, thromboembolism, and rarely cardiogenic shock may occur, emphasizing the need for close follow-up and individualized management.14 In this patient, early identification of an apical thrombus guided initiation of anticoagulation alongside standard heart failure therapies, including beta-blockers and statins.
Current guidelines recommend supportive care focusing on symptomatic management, neurohormonal blockade, and anticoagulation when ventricular thrombi are present. Serial imaging is essential to monitor functional recovery and resolution of thrombus 15-16. The patient responded favorably to supportive care with beta-blockers and anticoagulation due to transient moderate left ventricular systolic dysfunction. Repeat imaging confirmed full recovery of ventricular function at follow-up.
This case highlights the diagnostic challenge posed by TCM, especially when initial ECG findings resemble those of critical coronary artery disease. Recognition of TCM and its potential complications allows for tailored management and improved patient outcomes.
Limitations: This case report is limited by the absence of long-term follow-up beyond two months and by the lack of formal screening for embolic events during or after hospitalization. Although no clinical signs of embolism were observed, subclinical embolic phenomena cannot be fully excluded. Further longitudinal studies are warranted to assess long-term outcomes in similar patients.
CONCLUSIONS
According to the 2025 updated diagnostic criteria, the patient met all major components: Transient wall motion abnormalities extending beyond a single coronary distribution (apical ballooning); Absence of significant obstructive coronary artery disease; ECG changes with deep symmetrical T-wave inversions and prolonged QTc; Elevated high-sensitivity troponin T, with a progressive increase from 450 ng/L to 574 ng/L within 3 hours; and a identifiable emotional trigger (bereavement). Other potential etiologies, such as myocarditis and pheochromocytoma, were ruled out.
This case reinforces the clinical utility of the revised InterTAK diagnostic algorithm (2025) and underlines the importance of considering Takotsubo syndrome in elderly female patients presenting with acute chest pain and non-obstructive coronary angiography. Early recognition is crucial to avoid overtreatment and ensure appropriate monitoring of potential complications.
Clinical Perspectives:
This case highlights the importance of considering Takotsubo cardiomyopathy in postmenopausal women presenting with symptoms suggestive of acute coronary syndrome but without significant obstructive coronary lesions. Rapid identification through ventriculography and echocardiography enabled effective conservative management. Early recognition of this condition can prevent unnecessary interventions and improve prognosis.
Author Contributions: Conceptualization, Marlon Carbonell González and Deborah Cabrera Rodríguez; methodology, Marlon Carbonell González; software, Maydelis Milo Alvarez; validation, Marlon Carbonell González, Deborah Cabrera Rodríguez and Maydelis Milo Alvarez; formal analysis, Marlon Carbonell González; investigation, Marlon Carbonell González., Deborah Cabrera Rodríguez, Mai Lyng Yon Wong, Maydelis Milo Alvarez, Lhianella Ramos Escobedo and Eliany León Figueredo; resources, Marlon Carbonell González and Lhianella Ramos Escobedo; data curation, Marlon Carbonell González; writing—original draft preparation, Marlon Carbonell González., Deborah Cabrera Rodríguez, Mai Lyng Yon Wong, Maydelis Milo Alvarez and Eliany León Figueredo; writing—review and editing, Marlon Carbonell González, Deborah Cabrera Rodríguez and Mai Lyng Yon Wong; visualization, Marlon Carbonell González and Lhianella Ramos Escobedo; supervision, Marlon Carbonell González; project administration, Marlon Carbonell González; funding acquisition, Marlon Carbonell González. All authors have read and agreed to the published version of the manuscript.
Funding: This research received no external funding.
Institutional Review Board Statement: Ethical review and approval were waived for this study, as it is a single-patient case report with no experimental intervention. Written informed consent was obtained from the patient before publication.
Informed Consent Statement: Informed consent was obtained from the patient involved in this case. Written informed consent was also obtained for the publication of this report, including all clinical information and diagnostic images.
Data Availability Statement: The data supporting the findings of this study are available from the corresponding author upon reasonable request. No publicly available datasets were used or generated in this case report. For further details, please refer to the Bionatura Research Data Policies: https://bionaturajournal.com/ethics-policies.html
Acknowledgments: The authors would like to thank all those who contributed to the preparation of this case report, including colleagues who provided valuable feedback during the clinical assessment and manuscript review process.
Acknowledgments: The authors would like to thank all those who contributed to the preparation of this case report, including colleagues who provided valuable feedback during the clinical assessment and manuscript review process.
Conflicts of Interest: The authors declare no conflict of interest. The funders had no role in the design of the study; in the collection, analyses, or interpretation of data; in the writing of the manuscript; or in the decision to publish the results.
REFERENCES
1. Sato H, Tateishi H, Uchida T, et al. Takotsubo-type cardiomyopathy due to multivessel spasm. In: Kodama K, Haze K, Hori M, editors. Clinical Aspect of Myocardial Injury: From Ischemia to Heart Failure. Tokyo: Kagakuhyouronsha Publishing Co.; 1990. p. 56-64.
2. Ghadri JR, Wittstein IS, Prasad A, Sharkey S, Dote K, Akashi YJ, et al. International expert consensus document on Takotsubo syndrome (part I): clinical characteristics, diagnostic criteria, and pathophysiology. Eur Heart J. 2018;39(22):2032-46. https://doi.org/10.1093/eurheartj/ehy076
3. Kumar A, Thakkar S, Gopalakrishnan M, Deshmukh A, Hussein A, Nalluri N, et al. Thromboembolism in Takotsubo syndrome: incidence, predictors, and outcomes. J Am Coll Cardiol. 2017;69(19):2283-4. https://doi.org/10.1016/j.jacc.2017.02.055
4. Santoro F, Stiermaier T, Tarantino N, Guastafierro F, Graf T, Moller C, et al. Takotsubo syndrome: pathophysiology, diagnosis and treatment. Clin Cardiol. 2018;41(7):910-8. https://doi.org/10.1002/clc.22954
5. Lyon AR, Bossone E, Schneider B, Sechtem U, Citro R, Underwood SR, et al. Current state of knowledge on Takotsubo syndrome: a position statement from the Taskforce on Takotsubo Syndrome of the Heart Failure Association of the European Society of Cardiology. Eur J Heart Fail. 2016;18(1):8-27. https://doi.org/10.1002/ejhf.424
6. Templin C, Ghadri JR, Diekmann J, Napp LC, Bataiosu DR, Jaguszewski M, et al. Clinical features and outcomes of Takotsubo (stress) cardiomyopathy. N Engl J Med. 2015;373(10):929-38. https://doi.org/10.1056/NEJMoa1406761
7. Santoro F, Núñez-Gil IJ, Stiermaier T, El-Battrawy I, Guerra F, Novo G, et al. Management of Takotsubo syndrome: a comprehensive review. Heart Fail Rev. 2021;26(6):1381-95. https://doi.org/10.1007/s10741-021-10114-x
8. Pelliccia F, Kaski JC, Crea F, Camici PG. Epidemiology of Takotsubo syndrome. Circ J. 2020;84(6):1086-92. https://doi.org/10.1253/circj.CJ-19-0889
9. Lyon AR. Stress cardiomyopathy: a clinical review. Eur Heart J. 2016;37(13):1033-9. https://doi.org/10.1093/eurheartj/ehv341
10. Poruban T, Studencan M, Kirsch P, Novotny R. Incidence of Takotsubo cardiomyopathy in patients with acute coronary syndrome: a single center retrospective analysis. Egypt Heart J. 2024;76(1):112. https://doi.org/10.1186/s4344-024-00542-x
11. El-Battrawy I, Santoro F, Núñez-Gil IJ, Patz T, Stiermaier T, Eitel I, et al. Age-Related Differences in Takotsubo Syndrome: Results From the Multicenter GEIST Registry. J Am Heart Assoc. 2024;13(4):e030623. https://doi.org/10.1161/JAHA.123.030623
12. Lei J, Wang L, Yin N, Zhang Z. Embolic stroke complicating left ventricular thrombus in Takotsubo syndrome: A case report. J Int Med Res. 2025;53(3):30006052513264. https://doi.org/10.1177/03000605251326764
13. Salamanca J, Vedia Ó, Mejía H, Corbí-Pascual M, Blanco-Ponce E, Ruiz-Ruiz J, et al. Intraventricular thrombus in Takotsubo syndrome: Incidence, predictors, management, and prognosis. Insights from the RETAKO registry. Int J Cardiol. 2025;423:132985. https://doi.org/10.1016/j.ijcard.2025.132985
14. DynaMed [Internet]. Takotsubo Cardiomyopathy. 2025 [cited 2025 July 05]. Available from: https://www.dynamed.com/condition/takotsubo-cardiomyopathy
15. UpToDate [Internet]. Takotsubo cardiomyopathy (stress cardiomyopathy): clinical features, diagnosis, and management. 2025 [cited 2025 July 14]. Available from: https://www.uptodate.com/contents/takotsubo-cardiomyopathy-stress-cardiomyopathy-clinical-features-diagnosis-and-management
16. PubMed [Internet]. Latest Research on Takotsubo Cardiomyopathy. 2025 [cited 2025 July 18]. Available from: https://pubmed.ncbi.nlm.nih.gov/?term=takotsubo+cardiomyopathy&sort=date
Received: July 20, 2025 / Accepted: August 6, 2025 / Published: September 15, 2025
Citation: Carbonell González M, Milo Alvarez M, Cabrera Rodríguez D, Yon Wong ML, Ramos Escobedo L, León Figueredo E. Takotsubo Cardiomyopathy Triggered by Emotional Stress in an Elderly Female. Bionatura Journal 2025;2(3):8. doi: 10.70099/BJ/2025.02.03.8
Additional information: Correspondence should be addressed to marloncarbonell95@gmail.com
Peer review information. Bionatura thanks anonymous reviewer(s) for their contribution to the peer review of this work using https://reviewerlocator.webofscience.com/
ISSN.3020-7886
All articles published by Bionatura Journal are made freely and permanently accessible online immediately upon publication, without subscription charges or registration barriers.
Publisher's Note: Bionatura Journal stays neutral concerning jurisdictional claims in published maps and institutional affiliations.
Copyright: © 2025 by the authors. They were submitted for possible open-access publication under the terms and conditions of the Creative Commons Attribution (CC BY) license (https://creativecommons.org/licenses/by/4.0/).
Comments from readers and researchers
This space is available for you to share your impressions about the published content.
This space is available for you to share your impressions about the published content.